美しい口元を長く保つための詰め物・被せ物治療
詰め物・被せ物治療は、歯の見た目を整えるためだけのものではありません。むし歯などで損なわれた歯の形や機能を補い、噛み合わせを安定させながら、口元全体のバランスを整えることを目的とした治療です。見た目と機能の両面を考えることで、健康で美しい口元を長く保ちやすくなります。
歯の色や質感の変化は、年齢による影響や、飲食物の着色、過去の治療、薬剤の影響など、さまざまな要因によって起こります。詰め物・被せ物治療では、こうした色調の変化にも対応し、周囲の歯と違和感のない自然な色合いや形を再現することが可能です。
セラミック治療とは
セラミック治療とは、セラミック素材を用いて、歯の見た目と噛む機能の両方の回復を図る治療方法です。
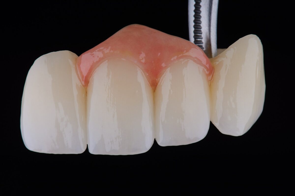
詰め物や被せ物にセラミックを使用することで、天然の歯に近い色合いや透明感を再現でき、治療した部分が目立ちにくい自然な仕上がりが期待できます。
変色してしまった被せ物の交換や、形が気になる差し歯の調整、むし歯治療後の修復など、さまざまなケースに対応しています。
セラミックは保険診療で使用される材料に比べて色調の調整幅が広く、周囲の歯になじみやすいのが特徴です。
当院では見た目の改善だけでなく、噛み合わせや耐久性にも配慮し、長期的に快適に使えるセラミック治療を行っています。
セラミック治療が選ばれる理由
セラミック治療は、歯の見た目の美しさと噛む機能の両立を大切にしたい方に選ばれている治療方法です。セラミック素材は、天然の歯に近い色合いや透明感を再現しやすく、周囲の歯になじむ自然な仕上がりが期待できます。そのため、治療した部分が目立ちにくく、口元全体の印象を整えやすいという特徴があります。
また、セラミックは表面がなめらかで、プラークや着色汚れが付着しにくい素材です。経年的な変色や劣化が起こりにくく、清潔な状態を保ちやすいため、むし歯や歯周病のリスク軽減にもつながります。さらに、金属を使用しないメタルフリー治療なので、金属アレルギーが気になる方にも適しています。
このように、セラミック治療は審美性だけでなく、清潔さや耐久性、将来の健康面まで考慮できる点が、多くの方に選ばれている理由です。
仕上がりや長期的な安定性は治療計画や技術によって左右されるため、機能面まで考慮した丁寧な治療が重要になります。
銀歯とセラミックの比較

見た目
銀歯はグレーがかった銀色の金属素材で、白い歯の中では色の差が出やすく、口を開けたときに目立ちやすい傾向があります。
一方、セラミックは天然歯に近い白さや透明感を再現でき、周囲の歯になじみやすいため、自然な仕上がりが期待できます。素材によっては、より本物の歯に近い質感まで再現することも可能です。
生体親和性
銀歯に使われる金銀パラジウム合金は、時間の経過とともに口の中で金属イオンが溶け出すことがあり、金属アレルギーを引き起こす可能性があります。これまで症状がなかった方でも、後からアレルギーが出るケースがあります。
セラミックは金属を使用しないメタルフリー素材のため、生体親和性が高く、金属アレルギーの心配がほとんどありません。
むし歯の再発リスク
銀歯は表面に細かな傷がつきやすく、プラークが付着しやすい傾向があります。また、経年劣化によって歯との間にすき間が生じることがあり、そこからむし歯や歯周病が再発するリスクが高まります。
セラミックは表面がなめらかで汚れがつきにくく、歯との適合性も高いため、すき間ができにくく、再発リスクを抑えやすい素材です。
費用
銀歯は保険診療の対象となるため、費用を抑えて治療することができます。
セラミックは自費診療となりますが、素材の種類や特性に応じて選択が可能です。見た目や耐久性、将来的なリスクまで考慮しながら、ご自身に合った治療方法を選ぶことが大切です。
詰め物・被せ物治療メニュー
クラウン(被せ物)の種類・特徴
オールジルコニアクラウン
ジルコニアのみで作られた被せ物で、非常に高い強度を持つことが特徴です。噛む力が強くかかる奥歯でも割れにくく、耐久性を重視したい方に適しています。色調の調整も可能なため、使用する部位やご希望に応じて自然な見た目に仕上げることもできます。
ジルコニアセラミッククラウン
内側に強度の高いジルコニア、外側にセラミックを重ねた被せ物です。耐久性と審美性の両方に優れているのが特徴で、前歯など見た目を重視したい部位にも適しています。透明感や色合いを細かく調整でき、天然歯に近い仕上がりが期待できます。
オールセラミッククラウン(e-max)
金属を一切使用しないメタルフリーの被せ物で、自然な色調と透明感に優れているのが特徴です。ジルコニアに比べると強度はやや控えめですが、見た目の美しさを重視したい前歯などに選ばれることが多い素材です。
メタルセラミッククラウン
金属のフレームにセラミックを焼き付けた被せ物で、安定した強度と適合性を持つことが特徴です。
ただし、長期間使用することで歯ぐきとの境目に金属が見える場合があり、審美性の面では注意が必要です。
ゴールドクラウン
金合金などの貴金属を使用した被せ物で、歯とのなじみが良く、噛み合わせへの負担が少ないことが特徴です。見た目は目立ちますが、奥歯など外から見えにくい部位では、機能性を重視した選択肢として適しています。
インレー(詰め物)の種類・特徴
オールジルコニアインレー
むし歯の範囲が比較的広く、強度が求められるケースに用いられることが多い詰め物です。部分的な修復でありながら高い耐久性を備えており、噛む力がかかりやすい奥歯にも対応できます。変形や劣化が起こりにくく、安定した状態を保ちやすい点が特徴です。
オールセラミックインレー(e-max)
削る量をできるだけ抑えながら、見た目の自然さも重視したい場合に適した詰め物です。歯の色調になじみやすく、修復部分が目立ちにくい仕上がりが期待できます。中等度までのむし歯治療に幅広く用いられています。
ゴールドインレー
歯との適合性を重視した部分修復に選ばれることが多い素材です。歯との境目が密に合いやすく、噛む力をやわらかく受け止める性質があるため、長期的な安定性を重視するケースで用いられます。主に奥歯など、見た目より機能性を優先する部位に適しています。
そのほかの審美治療法
ダイレクトボンディング
ダイレクトボンディングは、歯を大きく削らず、必要な部分にだけ樹脂素材を重ねて形や色を整える治療法です。小さな欠けやすき間、軽度の変色などに対応でき、歯の負担を抑えながら見た目を整えたい場合に選ばれています。
治療は比較的短時間で行えることが多いです。金属を使わないため、口元の印象を自然に保ちやすい点も特徴です。
※歯の状態や修復範囲によっては適応できない場合があります。
ラミネートベニア
ラミネートベニアは、前歯の表面をごく薄く整え、セラミック製のシェルを貼り付けることで、色や形のバランスを整える治療法です。
歯全体を覆う被せ物とは異なり、歯の削除量を抑えながら印象を大きく変えられる点が特徴です。ホワイトニングでは改善が難しい色調や形のばらつきにも対応しやすく、自然な見た目を長く保ちたい方に適しています。

